Schedule
: Monday to Thursday : 7:30 am - 4:30 pm | Friday : 8 am to 4 pm
reception@oakridgedentalcentre.ca
(604) 261-7655
book appointment
Home
Our Team
New Patients
Services
Oakridge Construction
Testimonials
Cases
Contact
book appointment
Bonding, Crowns, Veneers & Zoom Whitening
Cases
Home
Cases
Cases
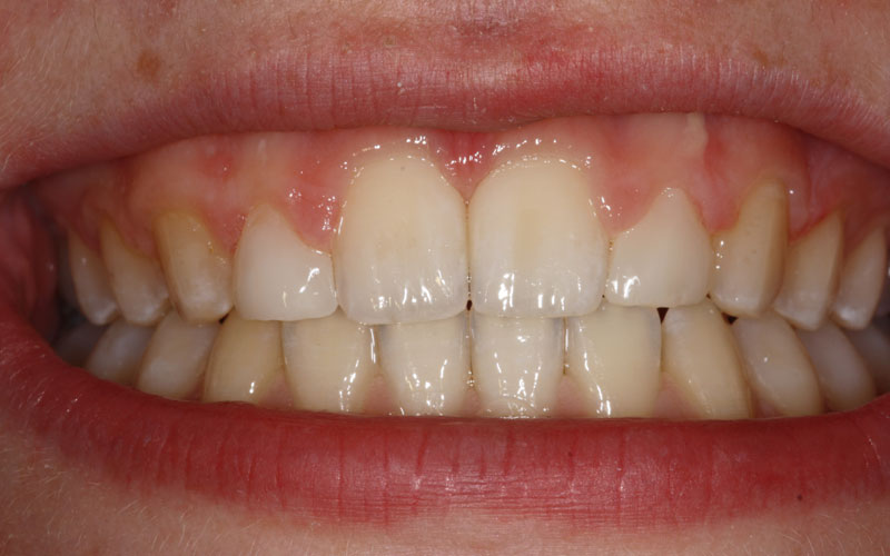
Crowns
Before
After
Before
After
Before
After
Cases
Bonding
Before
After
Cases
Veneers
Before
After
Before
After
Cases
Zoom Whitening
Before
After